Адрес стоматологии Голливуд в Томске Адрес: г.Томск Мариинский переулок, 8 Посмотреть на карте
Время работы стоматологии Голливуд в Томске Время работы: Пн-Пт 08:30-20:30
Сб 08:30-20:30
ВС 10:00-16:00
Запись на приём

Портфолио работ «Голливуд»

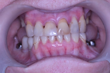
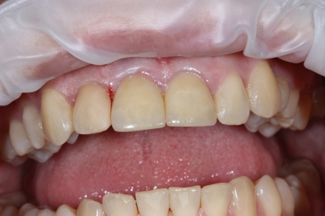
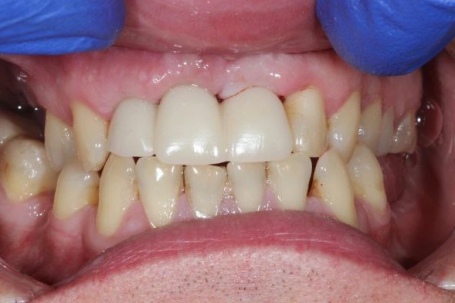
Установка диоксид циркониевых коронок

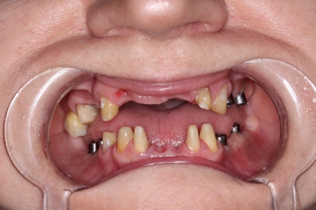
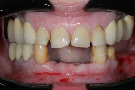
Анамнез

Женщина,75 лет.

Жалобы на разреженность зубов внизу справа.

Ход лечения

Было произведено удаление 45,47 зубов,Установка имплантатов, 44 зуб подготовлен под коронку.

Далее Установка диоксид циркониевых коронок.

Длительность реабилитации

Реабилитационный период 6 месяцев.

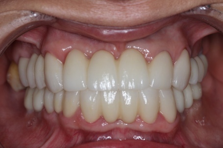
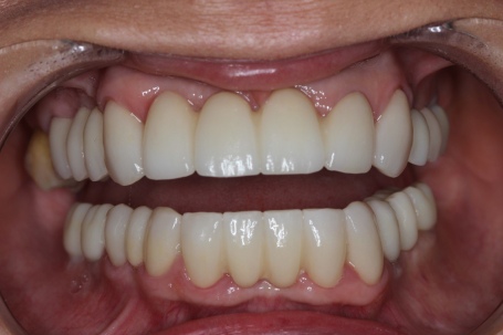
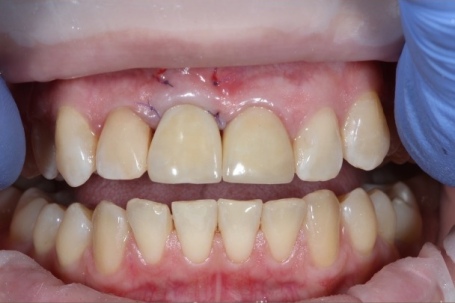
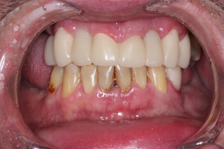
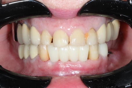
Диоксид циркониевые коронки на все зубы

Анамнез

Женщина 58 лет.

Жалобы на отсутствие и подвижность оставшихся зубов.

Ход лечения

Была произведена подготовка зубов к протезированию, удаление, установка остеоимпланта с временными коронками.

После формирования Десны,изготовлен мост,диоксид циркониевые коронки на все зубы.

Длительность реабилитации

Комплексная реабилитация прошла за 8месяцев.

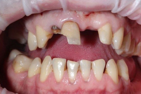
Восстановление коронки зуба

Анамнез

Женщина 45 лет.

Жалобы на отлом коронки переднего зуба.

Ход лечения

Произвели удаление,имплантация и установка временной коронки.

Длительность реабилитации

Срок восстановления зуба 1 день.

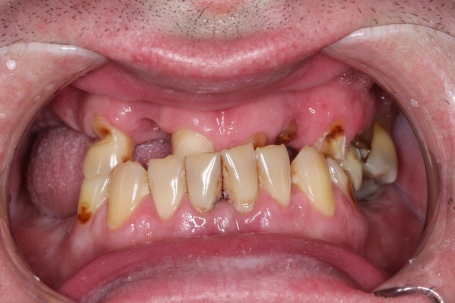
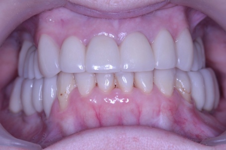
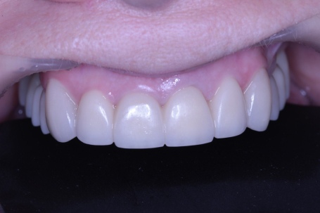
Установка коронок из диоксид циркония

Анамнез

Пациент, 62 года.

Жалобы на отсутсвие боксовых зубов и эстетический дефект передних зубов.

Ход лечения

Произведена комплексная подготовка к протезированию,установка имплантов и коронок из диоксид циркония.

Длительность реабилитации

Реабилитация 4 месяца.

Восстановление зубов в одно посещение

Ход лечения:

1. Восстановление зубов в одно посещение.
2. Определение Центрального Соотношения по Джигу.
3. На следующий день фиксация провизорных коронок и проведение цист-эктомии (один вертикальный разрез на небе)
4. Дальнейшая реабилитация следует

Герметизация лунки удаленного зуба

Ход лечения:

1. Герметизация лунки аутотрансплантатом удаленного зуба.
2. Сохраняем объём кости и прикрепление мягких тканей.

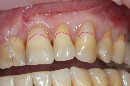
Перелом корня зуба

Анамнез:

Жалоба пациента на подвижность зуба 11 и боль при накусывание

Ход лечения:

1. Атравматичное удаление зуба 11
2. Установка имплантата по хирургическому шаблону. ( бикортикально )
3. Подсадка ССТ с бугра.
4. Перебазировка коронки прямым методом из диоксид-циркония на титановое основание.
5. Фиксация коронки сразу после операции.

Применение индивидуальной титановой мембраны

Ход лечения:

1. Применение индивидуальной титановой мембраны, изготовленной на лазерном принтере методом селективного спекания.
2. Собственное производство.
3. Данная мембрана позволяет провести реконструкцию дефекта альвеолярного гребня любой сложности.
4. Большой плюс данной технологии - это максимально атравматично для пациента, прогнозируемо и минимален риск осложнений.

Протезирование и установка коронки

Ход лечения:

1. Проведено сверление на сухую при оборотах 120
2. Легкая НКР аутокостью, мембрана не требуется.
3. Наложен крестообразный расслабляющий одинарный шов.

Удаление и установка имплантатов

Ход лечения:

1. Под седацией проведено удаление и установка имплантатов.
2. Установлены на вторые сутки временные коронки.
3. По плану имплантаты на нижнюю челюсть, полный Тотал с легким завышением прикуса!
4. Все выполнено в цифровом протоколе.

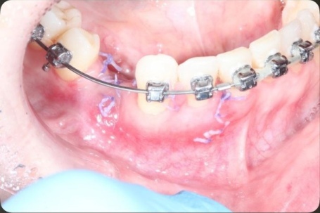
Установка импланта

Ход лечения:

1. Проведена установка имплантата в области отсутствующего зуба 46.
2. Установка временной коронки , изготовленной прямым методом сразу в момент операции.
3. Установка пружинной тяги на брекетах для большей дистализации зуба 47.

Формирование вестибулярно тонеля

Ход лечения:

1. Формирование вестибулярно тонеля для подсадки ССТ с бугра верхней челюсти. Это поможет выровнить десневой контур и сделать работу более превликательной и естественной.
2. Сверление по хирургическому навигационному шаблону.
3. Установка имплантата и формирователя десны.
4. Состояние через один день, болевых ощущений нет.
5. Фиксация капы с временным зубом 2.2.

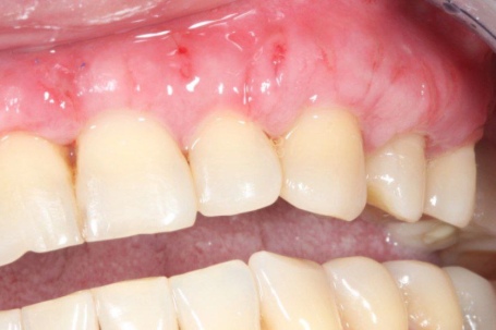
Восстановление десен

Анамнез

Жалобы пациента на чувствительность и оголение корней зуба.

Ход лечения

Техника VISTA, швы "спайдермен"

 

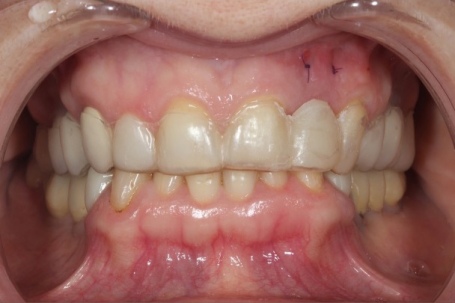
Несъемное протезирование

Анамнез

Пациентке 84 года, в другой клинике предложили только съёмное протезирование.

Ход лечения

В день консультации в нашей клинике было проведено интраоральное сканирование, рентгенологическое обследование для 3Д планирования операции. Проведено несъёмное временное протезирование на пятые сутки. Немедленная нагрузка на абатментах micro conical системы NeoDen ( бренд Straumann )

 

Одномоментная имплантация

Ход лечения

  1. Полностью цифровой протокол
  2. Одномоментная имплантация с немедленной нагрузкой через три дня.
  3. Фрезерные PMMA

 

Реконструкция костной ткани

Ход лечения

  1. Реконструкция и изменение объема костной ткани в области отсутствующего зубу 4.4 и закрытие пенетрации корня зуба 4.3 после ортодонтии.
  2. НКР с применением индивидуальной титановой мембраны. Расщепляли лоскут в миллиметре от выхода тройничного нерва. Со слов пациента - припухлость была минимальная , на следующий день после операции болей не было.
  3. Жалоб на онемение и парестезию нет. 
СТОМАТОЛОГИЯ «ГОЛЛИВУД» Адрес г.Томск, Мариинский переулок, 8 Время работы Пн-Сб 08:30-20:30
Вс 10:00-16:00
Телефоны +7 (3822) 305-550
+7 (3822) 225-351
Наши социальные сети
Спасибо! Данные успешно отправлены.
Мы Вам скоро перезвоним!